Musgrave Orthodontics Patient Gallery
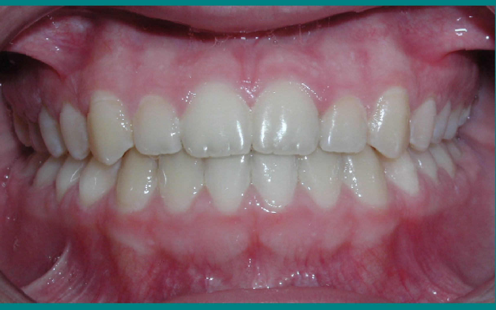
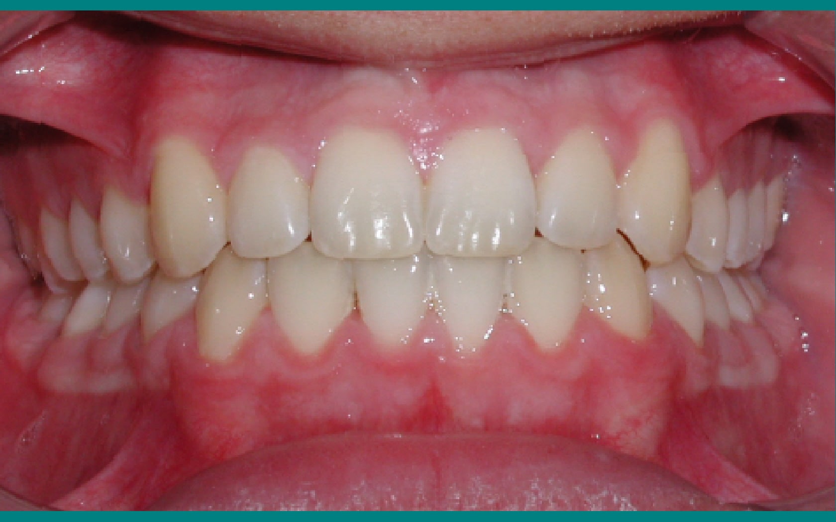
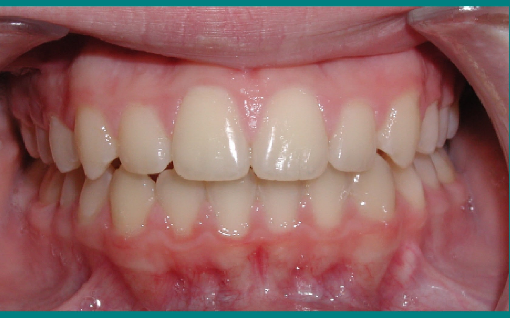
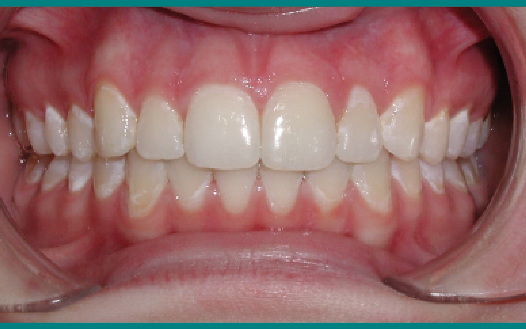
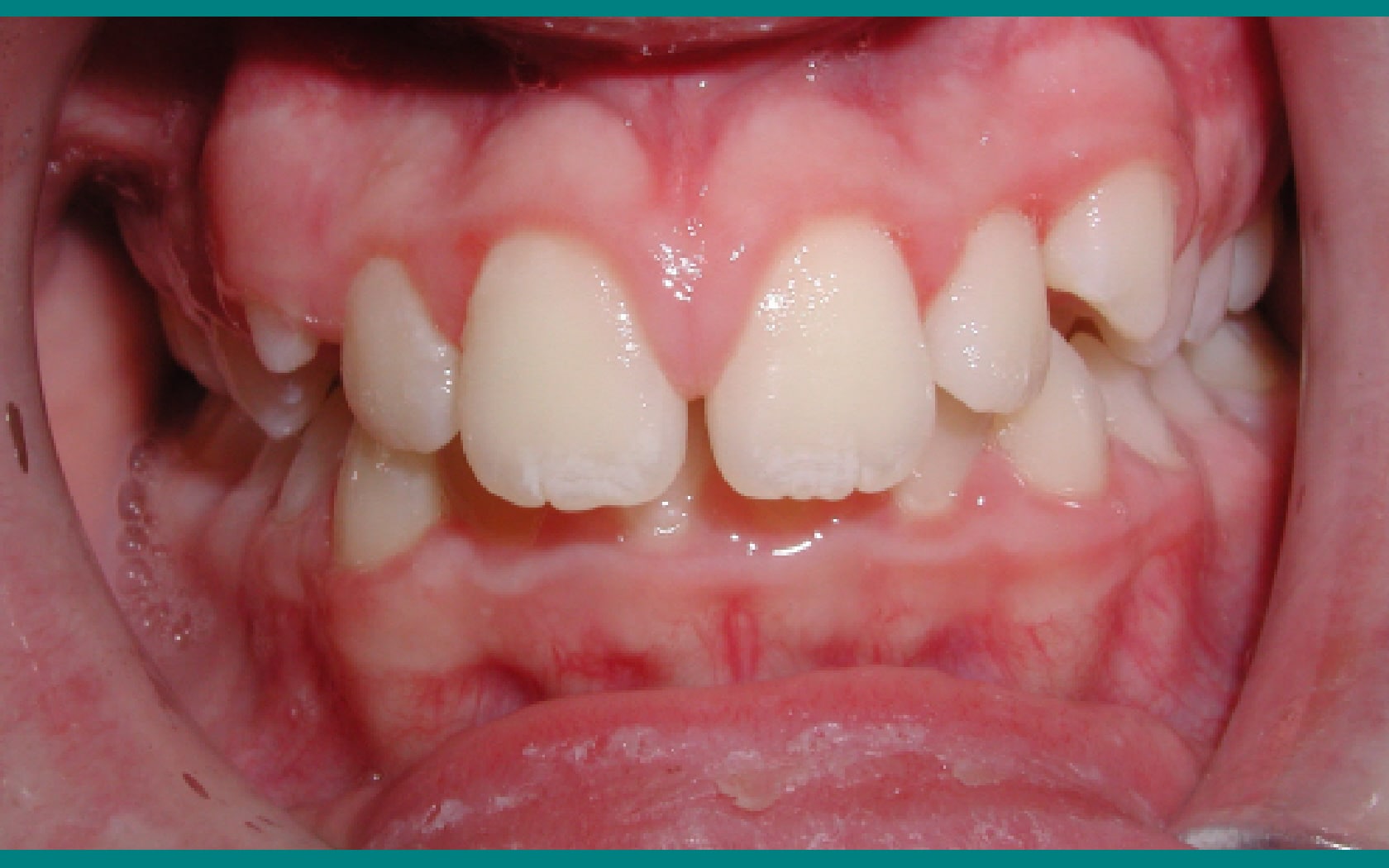
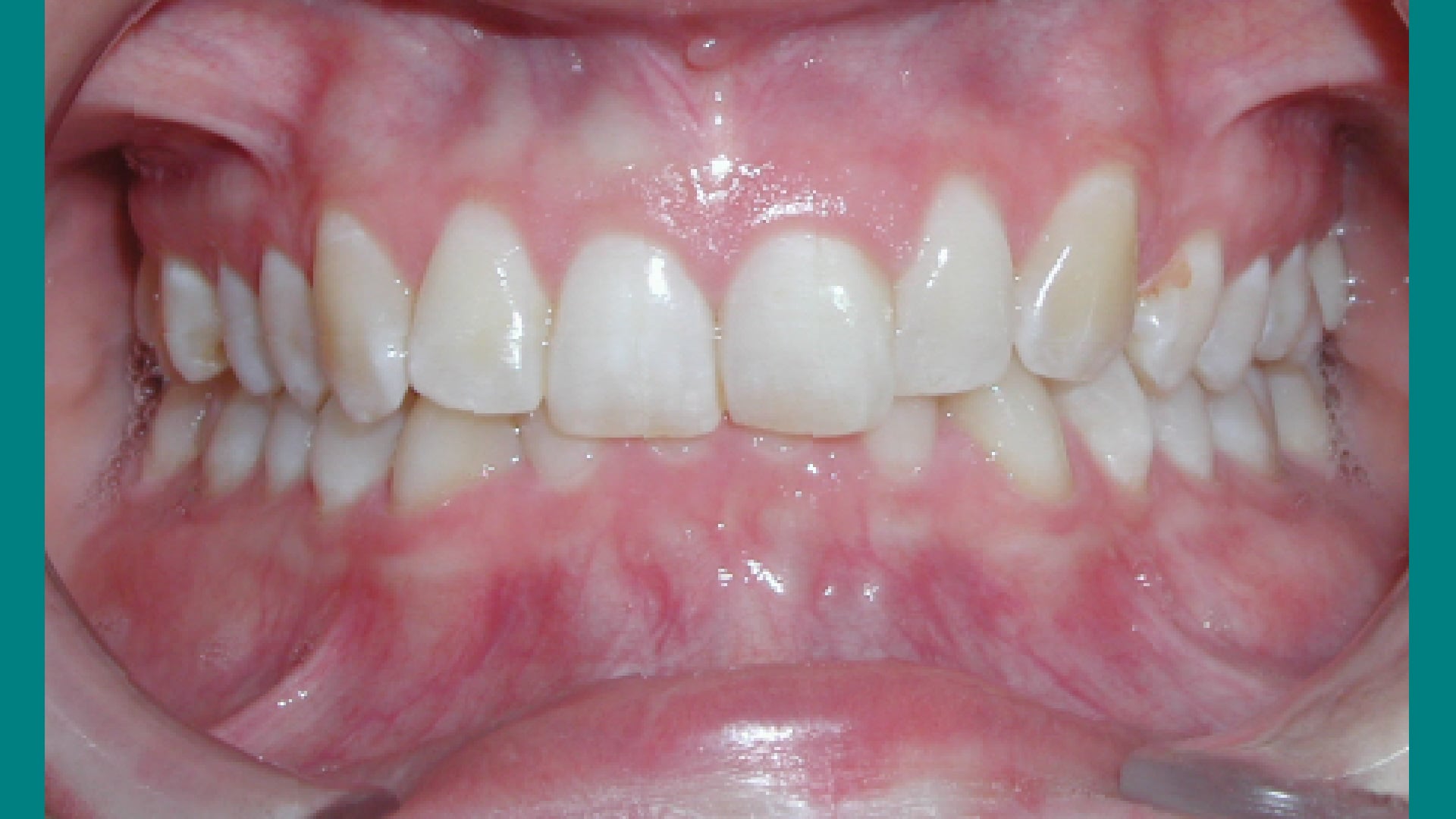
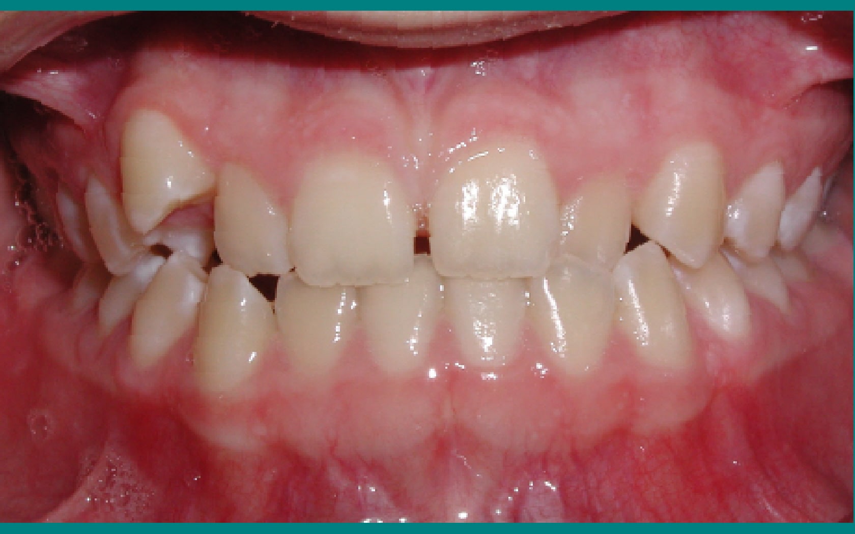
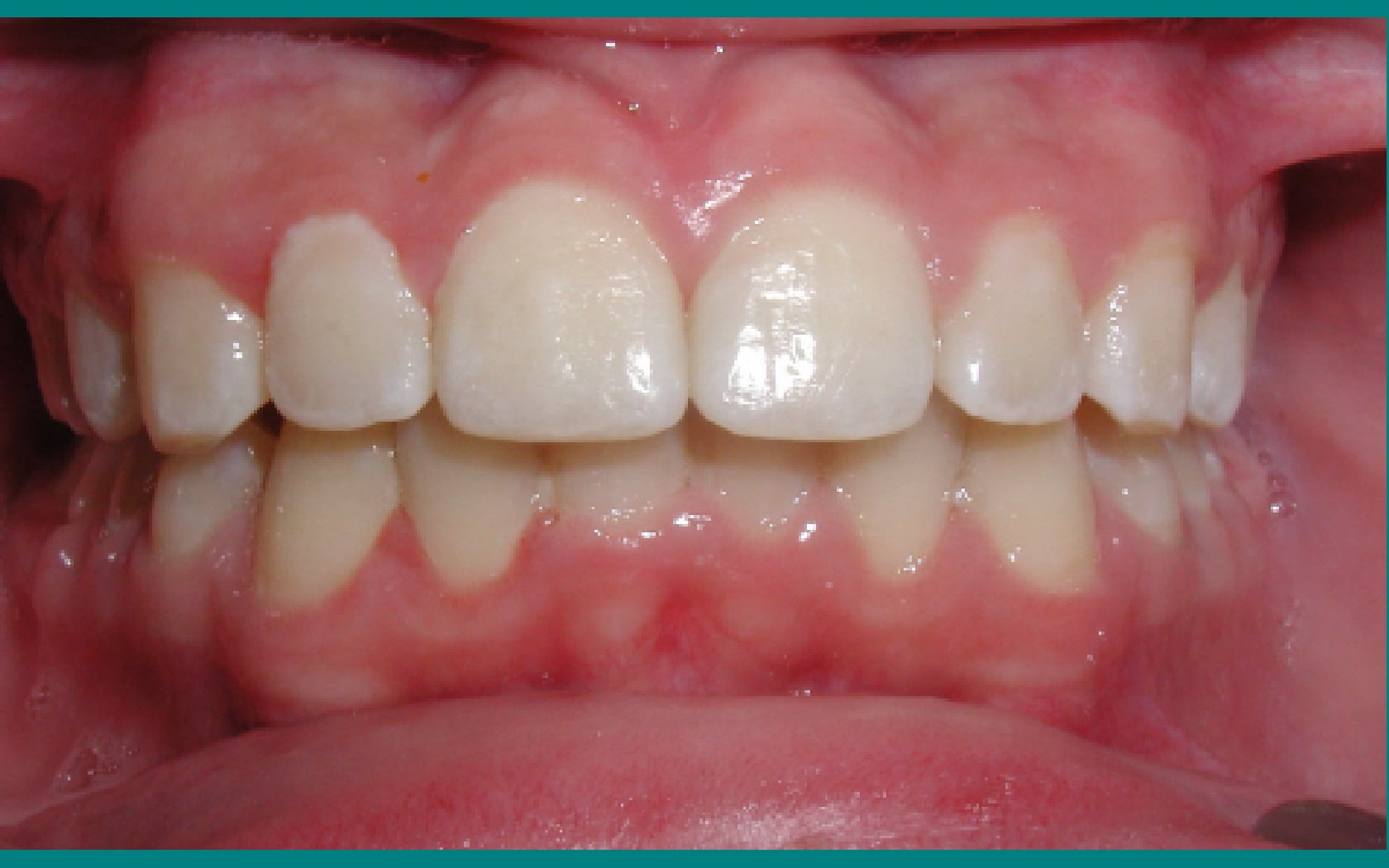
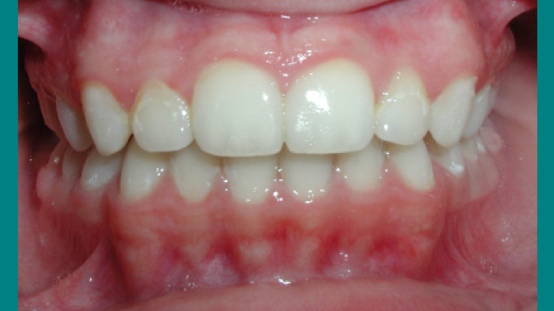
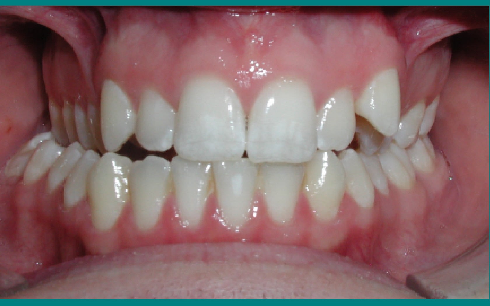
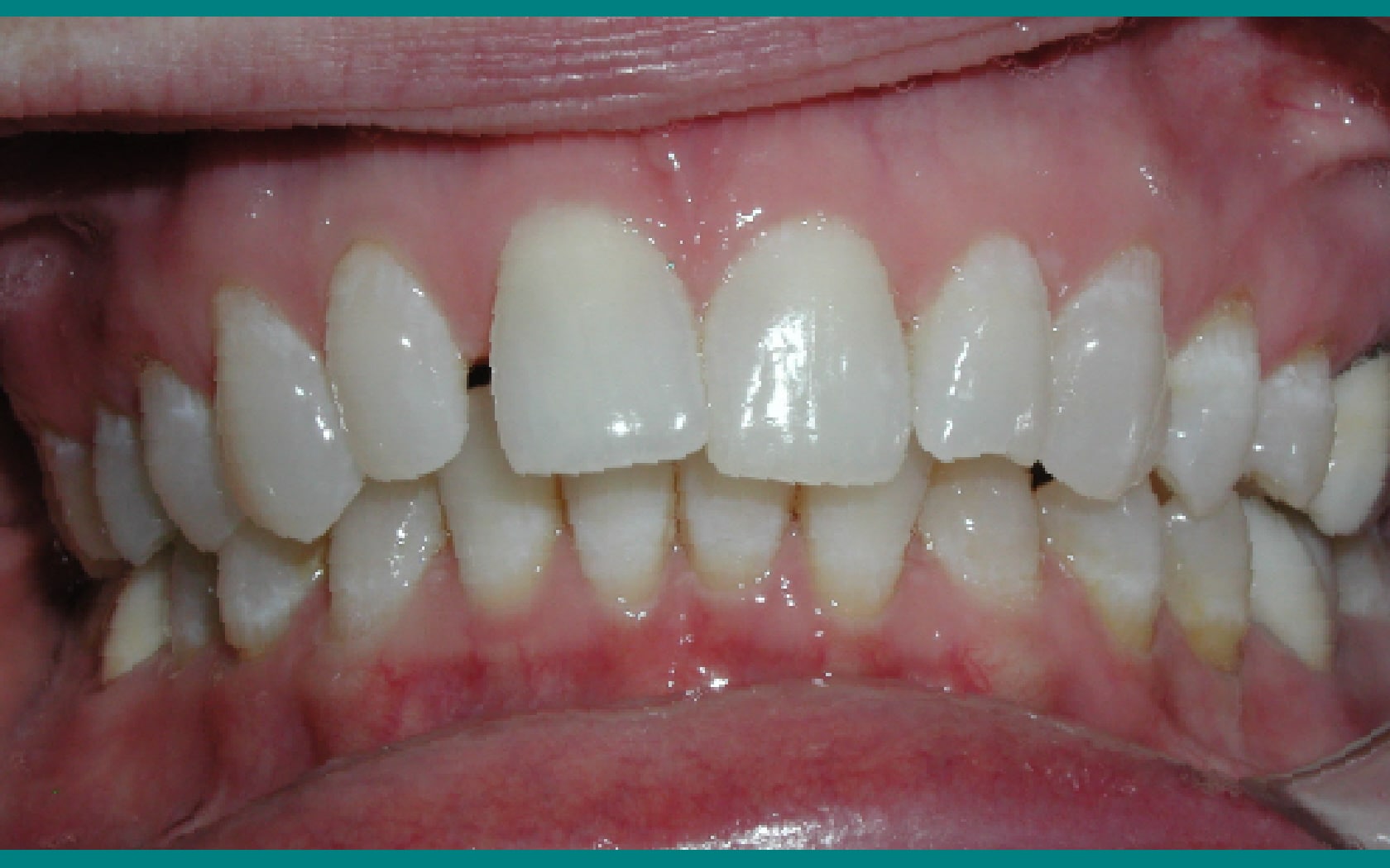
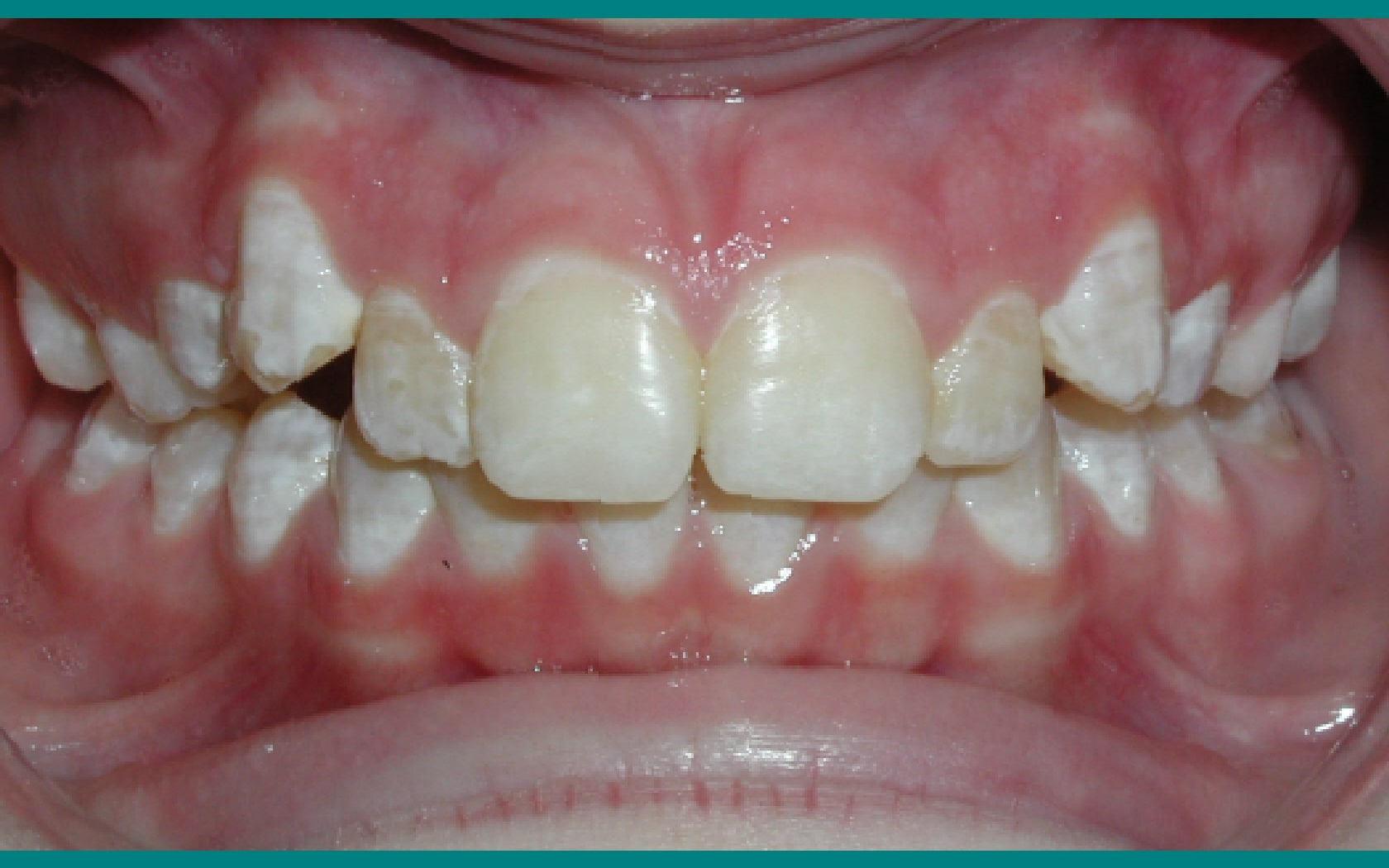
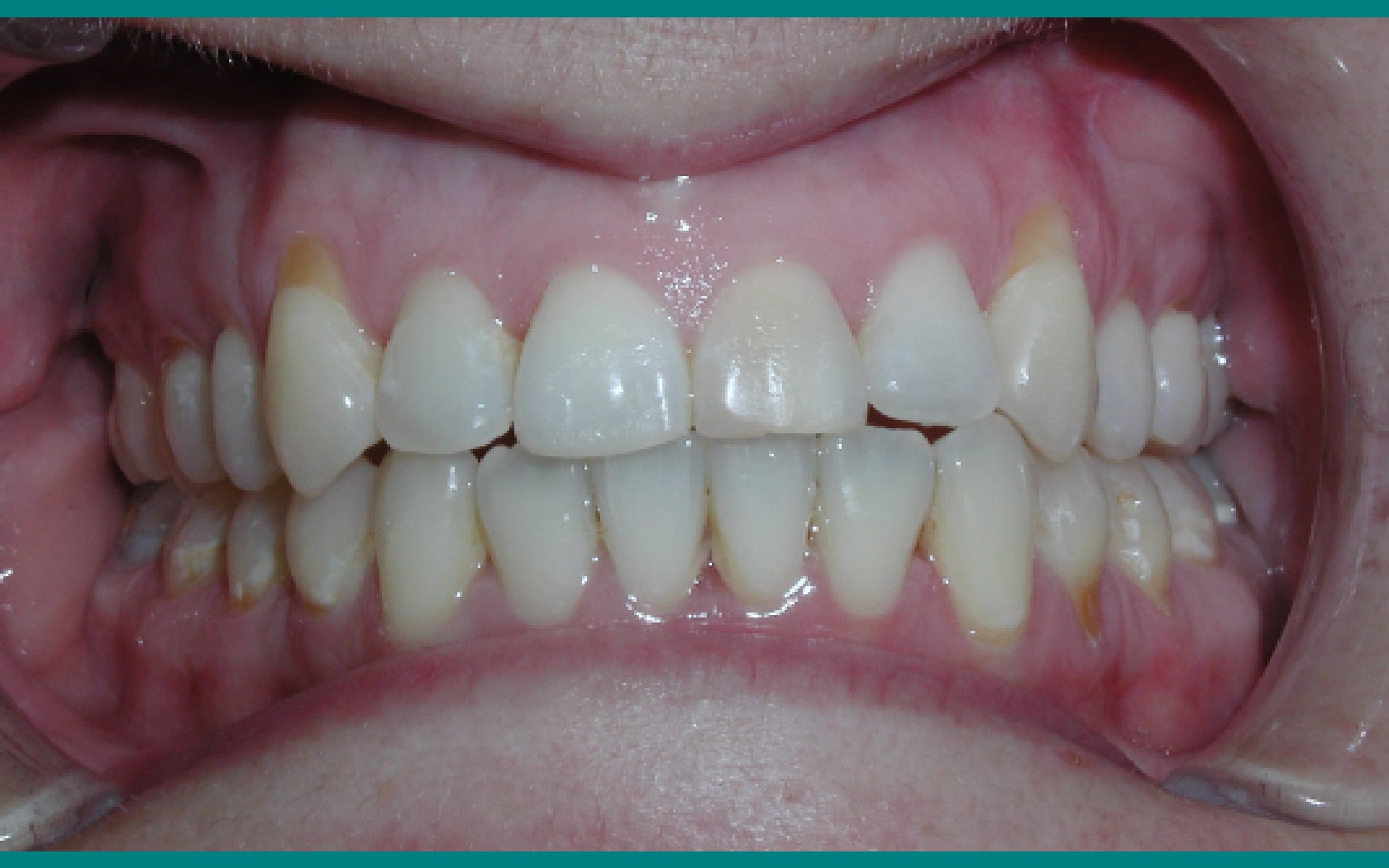
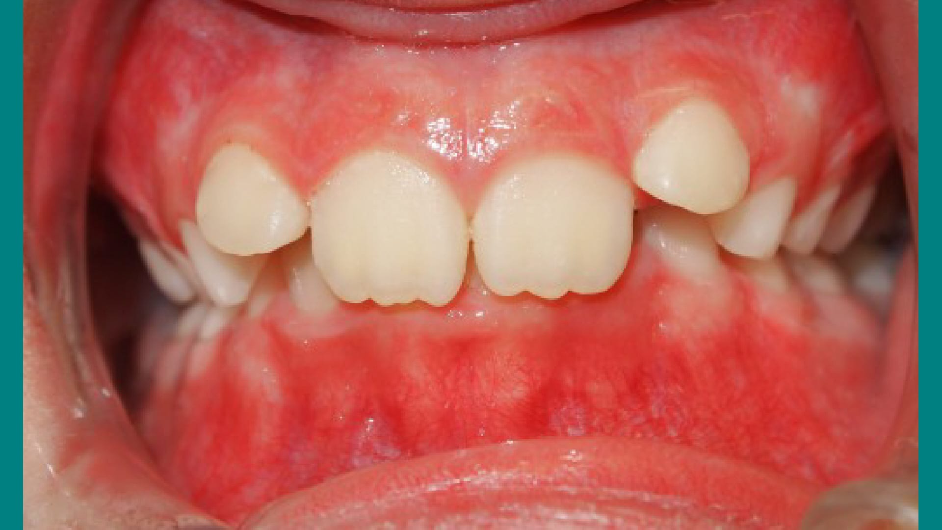
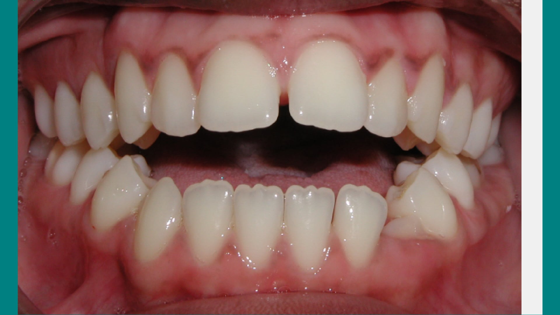
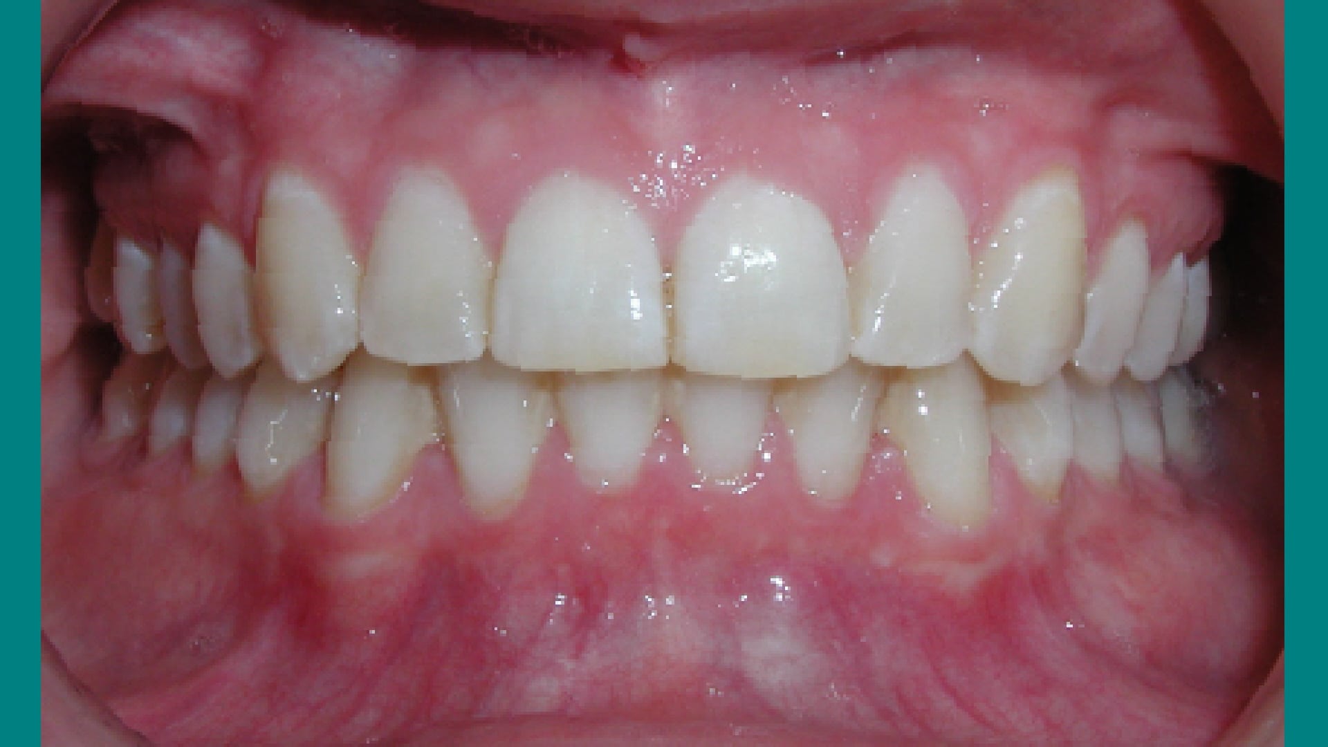
We work with a wide variety of patients who all have specialized treatment goals. Some examples of our results can be seen in the video below.
Musgrave Orthodontics – Braces and Invisalign For All Ages in Waldo and Delaware, OH
Orthodontist Waldo and Delaware, OH Braces | Musgrave Orthodontics
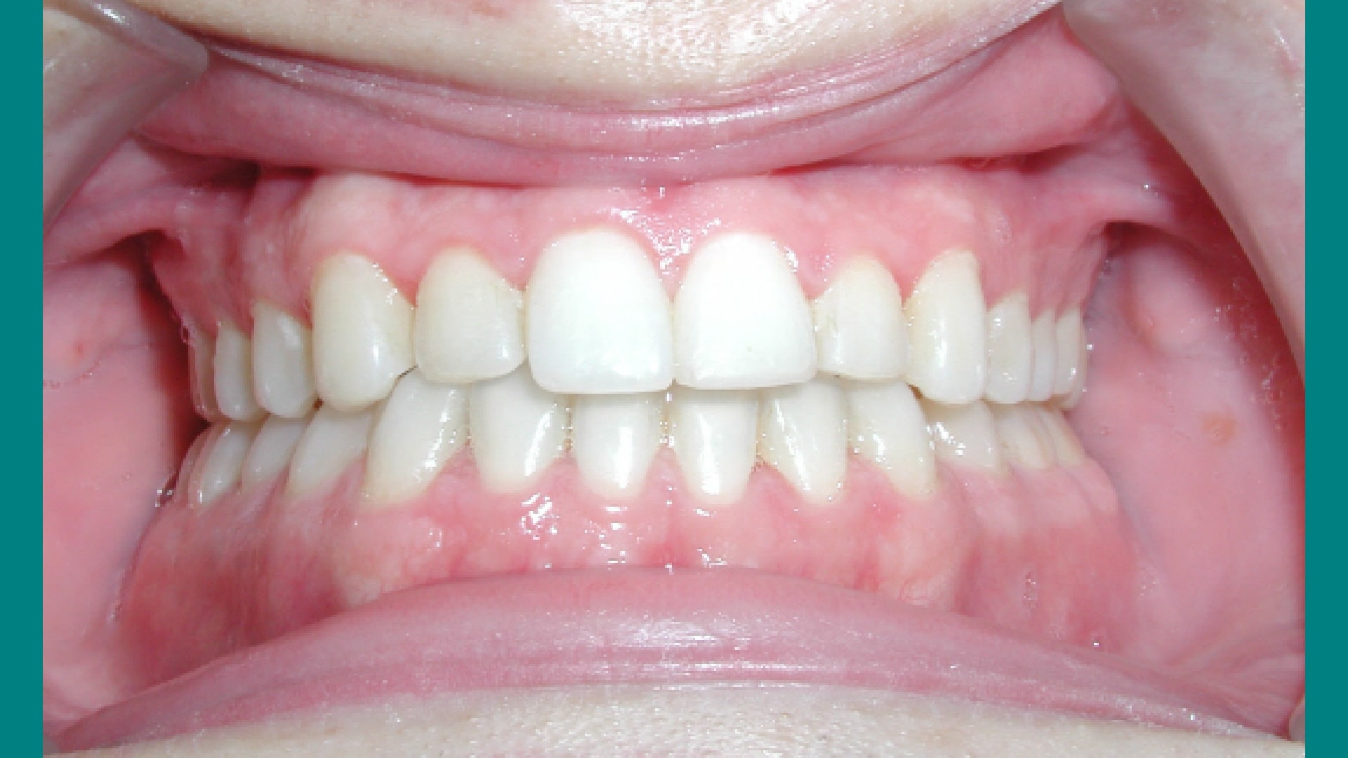
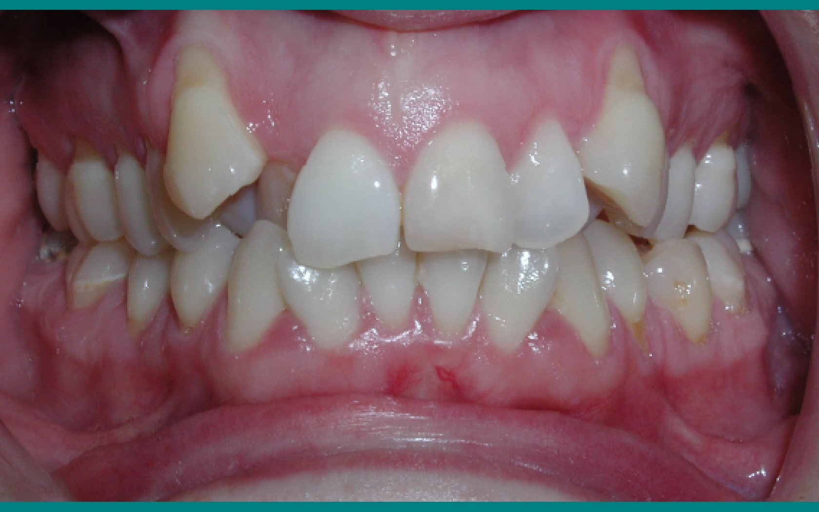
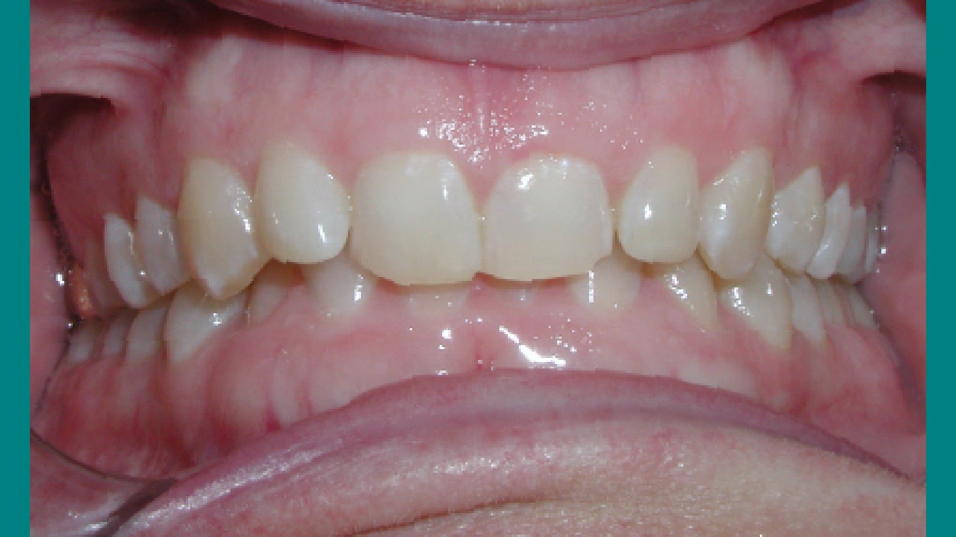
We work with a wide variety of patients who all have specialized treatment goals. Some examples of our results can be seen in the video below.